2024/04/07
年齢:40代
性別:女性
治療動機:虫歯の治療と上の銀歯を白くしたい。
術前写真

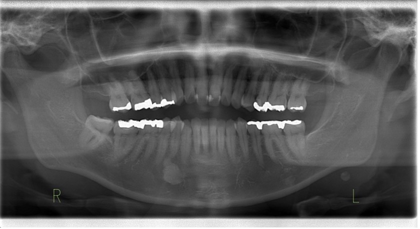
パノラマX線・レントゲン写真

下顎:メタルインレーが複数装着
術後写真

下顎:光学印象という従来のピンク色の型取りを必要としない方法で治療。即日で完成させる事も可能。
治療期間:2回(1.5時間)
治療費(税込):¥77,000(税込)×7本
リスク:一時的に歯がしみることがあります。
「戸越公園駅」から徒歩1分にある歯医者・歯科
『山手歯科クリニック戸越公園』
東京都品川区戸越5丁目10−18
TEL:03-5751-6480