入れ歯
入れ歯
「インプラント治療はできないと言われた。」「費用面でインプラントは難しい。」という方はいらっしゃいませんか?
失った歯を補う理想的な治療方法はインプラントです。しかし、患者さまの骨の状態やご要望などにより、インプラント治療が難しい場合もあります。そのような方にご提案しているのが入れ歯です。

当クリニックでは、保険適用の入れ歯から自費でお作りするチタンを用いた薄くて軽い金属床や、インプラントと併用した外れにくいインプラント義歯、特殊なシリコンを使った異物感を覚えにくいFINデンチャー、バネが目立ちにくいスマートデンチャーなど、多くの入れ歯をご用意しております。
なお、自費の入れ歯は全て特殊な素材を用います。そのため、保険義歯と比べ、時間や費用が余計にかかりますが、吸いつくようなフィット感や噛み心地が得られます。
入れ歯でお悩みのことがございましたら、ぜひ一度、当クリニックへご相談ください。
入れ歯(義歯)をお考えの方へ

例えば奥歯がない場合、前の方の歯だけで噛んでいるという状況です。しかし、前歯は噛みしめることに関してはとても弱い構造になっているため、奥歯がない状態を続けていると、上の前歯に負担がかかってしまいます。その結果、前歯が出歯のような状態になったり、歯と歯の間の隙間やお口元にシワができたりすることがあります。
こうした症状は、痛みを覚えにくいため、徐々に進行していきます。そのため、ほとんどの方は歯を失ったために起きているとは気づきにくく、年齢のためと勘違いしてしまいます。

失った歯の機能を回復するには、インプラントやブリッジ、入れ歯治療があります。最近では、インプラント治療を行う方も増えてきましたが、骨の状態によっては適応できないこともあり得ます。
そのような方にふさわしい治療が入れ歯です。入れ歯は、患者さまの体に負担を与えず、機能回復を図れます。当クリニックの入れ歯で、噛める喜びを再び取り戻していただきたいと思います。
スマイルデンチャーとは

スマイルデンチャーは、見た目の自然さと装着時の快適さを両立した「新しいタイプの部分入れ歯」です。従来の入れ歯にありがちな「金属のバネ」や「ゴツゴツした違和感」が気になる方に、ぜひ知っていただきたい選択肢です。
●見た目が自然で、入れ歯と気づかれにくい
スマイルデンチャーは金属のバネがないため、口元を気にせず笑顔になれます。透明感のあるピンク色の樹脂素材が、歯ぐきに自然になじむので、入れ歯をしていることに気づかれにくいのが特長です。
●軽くてしなやか。装着していても快適
素材には、ナイロン系の柔軟な樹脂を使用。非常に薄くて軽く、口の中にフィットしやすいため、装着中の違和感や異物感が少なく、「話しにくい」「食べにくい」といったストレスを大幅に軽減します。
●割れにくく、安心して使える
金属を使っていないため、万が一落としたり、踏んでしまっても割れにくく、耐久性にも優れています。日常生活の中でうっかり落としてしまっても安心です。
こんな方におすすめです
- 見た目の美しさを大切にしたい方
- 金属のバネが気になる方
- 入れ歯特有の違和感が苦手な方
- 軽くてフィット感のある入れ歯を探している方
- 金属アレルギーが心配な方
スマイルデンチャーは、機能性と審美性を兼ね備えた入れ歯です。見た目を気にせず、自然な笑顔で毎日を過ごしたい方に、ぜひご検討いただきたい治療法です。
入れ歯:症例
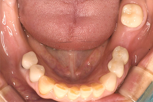
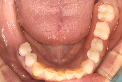
ノンクラスプデンチャー:40代 女性
治療前

治療後

| 治療名 | ノンクラスプデンチャー |
|---|---|
| 患者情報 | 40代 女性 |
| 執刀医 | 大塚院長 |
| 治療内容 | 左下欠損部を光学印象のカメラで撮影する事により型取りを行わないでノンクラスプの義歯を作製。 |
| 治療期間 | 2回(15分) |
| 費用(税込) | 330,000円 |
| 治療に対するリスク | 経年的な歯肉の変化で適合が緩くなる場合があります。 |
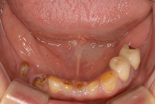
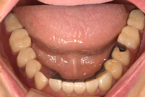
セラミッククラウン ノンクラスプデンチャー(チタン):60代 女性
治療前

治療後

| 治療名 | セラミッククラウン ノンクラスプデンチャー(チタン) |
|---|---|
| 患者情報 | 60代 女性 |
| 執刀医 | 大塚院長 |
| 治療内容 |
咬耗してしまった歯をセラミッククラウンで修復治療。 欠損部位はノンクラスプデンチャーを装着。 |
| 治療期間 | 7回 |
| 費用(税込) | セラミッククラウン:121,000円×5本 ファイバーコア:27,500円×5本 ノンクラスプデンチャー(チタン):660,000円 合計:1,402,500円 |
| 治療に対するリスク | ノンクラスプデンチャーは樹脂製のため柔らかさがあり、経年的に入れ歯の維持する力が緩くなる場合があります。 |
【入れ歯メニュー】
当クリニックでは、保険適用の入れ歯から目立ちにくいノンクラスプデンチャー、磁性アタッチメントやコーヌス義歯など、さまざまな入れ歯をご提案しております。最近では、ノンクラスプデンチャーをお使いいただく患者さまが増えています。

■チタン床義歯
最も薄いところで0.4mmとなり、熱も伝わり美味しく食事を召し上がれます。生体安全性があるチタンを用いることで、長期的に使用可能な入れ歯です。
(写真はゴールド色でイオン加工)

■コバルトクロム床義歯
最も薄いところで0.4mmとなり、熱も伝わりおいしく食事を召し上がれます。チタン床と比べて金属の重量が2倍になります。

■磁性アタッチメント義歯
入れ歯の裏側に磁石を付け、残っているご自分の歯根やインプラントと合わせることで吸引力が発生し、動きにくくする入れ歯です。

■スマートデンチャー
歯に引っかける金属のバネがないため、入れ歯だとわかりづらく審美的に優れています。金属アレルギー症など、ノンメタル治療をご希望される方は、樹脂のみの製作も可能です。

■インプラントデンチャー・ミニインプラントデンチャー
固定源にインプラントを利用した入れ歯です。ミニ・インプラントデンチャーは、直径1.8mmのチタン製のネジ状の金属を歯茎の上から埋め込み、その上に入れ歯を固定する装置です。入れ歯がお口の中で動かなくなり、快適です。
