大人の矯正歯科・小児矯正
大人の矯正歯科・小児矯正
歯並びや噛み合わせの乱れは、見た目だけでなく、むし歯・歯周病のリスク、咀嚼機能、発音、顎関節の負担など、さまざまなお口の健康に影響します。戸越公園・戸越エリアでも、矯正歯科を希望する患者さまは年々増えています。当院では、お一人ひとりの状態を丁寧に診断し、無理のない治療計画をご提案しています。
矯正治療を受けていただく場合は、当然患者さまとの長いお付き合いになります。そのため、患者さまにはご自身のお口のお手入れをより丁寧に行っていただく必要がございます。

また、矯正用のさまざまな器具類が歯の表面にくっつき、話しづらい、食べづらい、口内炎ができたなど、初めの内は気になることが多いかと思いますが、慣れると違和感も覚えにくくなります。
本当に大切なことは「きれいになりたい!」という気持ちと、お口の中を丁寧にお手入れする手間と時間を惜しまないということです。
矯正治療で、あなたのすばらしい未来を手に入れてください。
【大人の矯正】治したいと思ったときが矯正治療のチャンス

「大人になってからでも矯正治療はできますか?」
矯正治療のカウンセリングをしていますと、このような質問を多く受けます。
矯正治療を始める時期に決まりはありません。大人になってからでも治療はできます。「矯正治療を受けたい」と思ったときが、その方にとっての絶好のタイミングです。
大人の矯正のメリットの一つに、歯や顎の成長が既に止まっているため、治療計画が立てやすく、比較的スムーズに治療が進められることがあります。
当クリニックでは、カウンセリングを通じて治療計画を立て、美しい歯並びと正しい噛み合わせを取り戻せるように導いていきます。
整った歯並びとバランスの取れた噛み合わせは、何ものにも代えがたい一生の財産です。できるだけ患者さまのご要望に合せた矯正治療を心がけておりますので、歯並びや噛み合わせが気になる方は、まずは一度、お気軽にご相談ください。
矯正で美しい歯並びと口元を手に入れる

見た目が気になり、矯正歯科治療を始める方は、意外と多いようです。歯並びが悪いため、お口元が気になって、手で隠してしまったり、コンプレックスから消極的になってしまったり、何とかしたいという思いがとても強いようです。
治療を受ければ、美しい歯並びを手に入れられることはもちろん、歯が正しく並ぶことで、「キリッ」と引き締まったお口元を手に入れることができます。
例えば、歯を引っ込めたり、正しい位置に導くことで、顎を細くしたり、鼻を高く見せることができます。「出っ張った顎が気になる」「口元の突出感がずっとコンプレックスになっている」という方は、ぜひ一度、当クリニックまでご相談ください。
矯正治療が必要となる歯並びの種類
歯並びの乱れは、見た目の印象だけでなく、噛み合わせ・むし歯や歯周病のリスク・発音・お口周りの筋肉や顎関節の負担など、日常生活の多くの場面に影響を及ぼします。
山手歯科クリニック戸越公園では、戸越公園・戸越エリアにお住まいの患者さまから「どの歯並びが矯正治療の対象になるのか?」というご相談を多くいただきます。
「自分の歯並びはどうなのだろう?」と迷っている方の判断材料として、ぜひ参考にしてください。
叢生(そうせい)|でこぼこ・八重歯の歯並び

歯と歯が重なり合い、ガタガタに並んでいる状態を「叢生」といいます。
日本では八重歯を可愛らしいと感じる文化もありますが、実際には歯ブラシが届きにくく、汚れが溜まりやすい状態です。
●よくあるお悩み
- 歯磨きをしても汚れが取り切れない
- むし歯や歯周病になりやすい
- 見た目が気になり口元に自信が持てない
- 食べ物が詰まりやすい
叢生は「顎の大きさ」と「歯の大きさ」のバランスが合っていないことで生じます。
戸越公園や戸越周辺でも、最も相談が多い歯並びの一つです。
出っ歯(上顎前突)

上の前歯が前に傾いていたり、上顎全体が前方に出ている状態を指します。
見た目に気づきやすく、指しゃぶりや口呼吸などの癖が原因となることもあります。
●起こりやすい影響
- 前歯が乾燥しやすく、むし歯のリスクが高くなる
- 唇が閉じづらく、口元が気になる
- 転倒時に前歯を強くぶつけやすい
出っ歯は骨格的な要因が関わる場合も多いため、専門的な診断が重要です。
受け口(反対咬合)

下の歯が上の歯より前に出ている噛み合わせを「反対咬合」といいます。
小児期から気づかれることが多く、成長に伴って症状が進むこともあるため、早めの相談がおすすめです。
●代表的な特徴
- 食べ物を噛み切りにくい
- 発音が不明瞭になりやすい(サ行・タ行など)
- 顎の成長に偏りが生じ、横顔のバランスに影響することもある
反対咬合は、適切な時期に治療を開始することで改善しやすいケースがあります。
開咬(かいこう)|前歯が噛み合わない

口を閉じても、前歯が上下で接触せずにすき間が空いてしまう状態です。
舌の癖(舌突出癖)や指しゃぶりなどの習慣が関係することがあります。
●生活への影響
- 麺類や野菜を前歯で噛み切れない
- 空気が漏れて発音がしにくい
- 口が開きやすく、乾燥や口臭の原因になることも
開咬は機能面の不自由さが現れやすいため、早めの改善が望ましい歯並びです。
過蓋咬合(かがいこうごう)|噛み込みが深い

上の前歯が深くかぶさり、下の前歯がほとんど見えない噛み合わせです。
●気をつけたいポイント
- 下の前歯が歯ぐきを傷つけることがある
- 顎関節に負担がかかりやすい
- 歯のすり減りや破折の原因になる場合がある
戸越公園・戸越でも成人の患者さまで多い傾向があります。
正中のズレ|歯の真ん中が合っていない

上下の前歯の中心線がズレている状態を「正中のズレ」と呼びます。
見た目の違和感だけでなく、噛み合わせの偏りにつながることもあります。
●起こりやすい影響
- 片側の歯に負担が集中しやすい
- 顎関節の左右バランスが乱れやすい
- 食事の際、左右どちらか片方で噛みやすくなる
軽度に見えても、日常生活に影響しているケースがあります。
矯正治療で得られるメリット(一般的な効果)

矯正歯科治療は、「歯をきれいに並べる治療」というイメージが強いかもしれません。しかし実際には、見た目の変化以上に、お口の健康や日常生活に大きなメリットをもたらす治療です。
1.清掃性の改善によるむし歯・歯周病リスクの軽減
歯並びが重なっていたり、凸凹があると、どうしても歯ブラシが届きにくく、磨き残しが増えやすくなります。
矯正治療で歯が整列すると、1本1本に歯ブラシやデンタルフロスが届きやすくなり、汚れが除去しやすい状態になります。
●清掃性が改善すると
- むし歯のリスクが下がる
- 歯周病の進行を抑えやすくなる
- 歯ぐきが健康的になりやすい
見た目だけでなく、「お口の寿命を延ばす」うえでも矯正歯科が有効な選択肢となります。 戸越公園・戸越周辺でも“予防のための矯正”を検討する方が増えているのはこのためです。
2.正しい咬み合わせによる咀嚼機能の向上
噛み合わせが乱れていると、前歯で噛み切れない、奥歯ばかりに負担がかかる、食べ物がよく噛めないなど、日常生活に不便が出ることがあります。
矯正治療で噛み合わせが整うと、食べ物を効率よく噛み砕けるようになり、食事の時間が快適になります。
●よく噛めるようになると起こりやすい変化
- 食後の胃腸の負担が少なくなる
- 栄養をしっかり吸収しやすい
- 食事の楽しさが増す
「噛み合わせ」は全身の健康とも深く関わっています。矯正治療は、その土台を整える役割を果たします。
3.発音の改善が見込めるケースもある
歯の位置や噛み合わせによっては、空気の漏れや舌の動きが制限されることで発音がしにくい場合があります。
例えば、出っ歯や開咬(前歯が開いている状態)では、「サ行」「タ行」が不明瞭になりやすいことがあります。
矯正治療を行うことで、舌のポジションが整いやすくなり、発音がクリアになるケースがあります。
※改善の度合いには個人差があり、すべての方に当てはまるわけではありません。
4.顎関節への負担軽減(一般的傾向)
左右の噛む力のバランスが乱れていると、顎の関節や周囲の筋肉に負担が蓄積しやすくなります。
矯正歯科治療で噛み合わせが整うと、力のかかり方が均等に近づき、一般的に顎関節への負担が軽減される傾向があります。
●噛み合わせの不均衡が続くと起こりやすい症状
- 顎のだるさ
- カクカク音が鳴る
- 片側ばかりで噛む癖がつく
矯正治療は、顎関節症そのものを治す治療ではありませんが、バランスの良い噛み合わせづくりは、日常的な負担の軽減に役立つ場合があります。
5.口元のバランスが整い、笑顔に自信が持てる
矯正治療の大きな魅力の一つが、口元の印象が整うことです。
歯並びが整うと、顔全体のバランスが自然に調和し、横顔や笑顔に明るい印象が生まれます。
山手歯科クリニック戸越公園でも、「人前で笑うのが恥ずかしくなくなった」「写真を撮る機会が増えた」といった声を頂くことがあります。 矯正治療は美容目的だけではなく、日常のコミュニケーションを自然で心地よいものにしてくれる効果も期待できます。
※効果には個人差があります。
噛み合わせの矯正は全身機能にも影響を及ぼす

上と下の歯がキッチリ噛み合わないと食べ物がよく噛めないため、胃や腸の負担が大きくなってしまいます。また、歯列の乱れ(不正咬合)は、発音や顎、お顔の成長に悪影響を及ぼすだけでなく、顎の関節や筋肉にも影響を与えることがあります。それにより、肩こりや頭痛などの原因となったり、姿勢が悪くなることもあります。
矯正治療は、歯並びを整えて噛む機能を回復することにより、虫歯や歯肉炎・歯周病を防ぎ、歯の寿命を延ばします。近年、しっかりと噛めることにより、脳への血流量が変化し、記憶力に良い影響が出たり、体の瞬発力にもつながることがわかってきました。
【ワイヤー矯正装置】目立ちにくいセラミック・ブラケット

従来の金属製のブラケット(歯に取り付ける矯正装置)に加え、メタル部にセラミックを使用した目立ちにくい矯正装置です。
この装着は白いセラミックでできていますので、目立ちにくく、白い歯に良く馴染みます。耐久性にも優れており、割れたり欠けたりすることがほとんどありません。
メタルブラケットに比べ、費用はやや割高になりますが、治療期間はほとんど変わりません。
ワイヤー矯正:症例
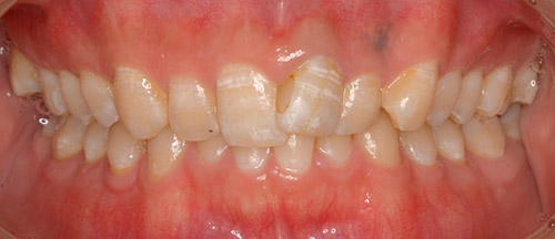
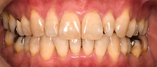
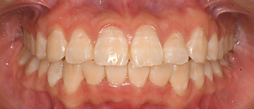
ワイヤー矯正治療:30代 女性
-
治療前
-
治療後
| 治療名 | ワイヤー矯正治療 |
|---|---|
| 患者情報 | 30代 女性 |
| 執刀医 | 大塚院長 |
| 治療内容 | ブラケットと呼ばれる歯にワイヤーを固定する装置とワイヤーを装着して歯を動かしていく治療です。 |
| 治療期間 | 4年6ヶ月 |
| 費用(税込) | 885,600円 |
| 治療に対するリスク | 分析の結果によっては歯を抜く必要性がある場合もあります。 |
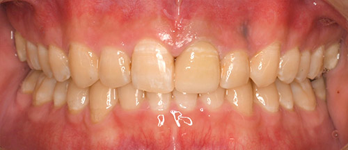
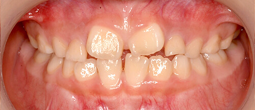
ワイヤー矯正治療:10代 女性
-
治療前
-
治療後
| 治療名 | ワイヤー矯正治療 |
|---|---|
| 患者情報 | 10代 女性 |
| 執刀医 | 大塚院長 |
| 治療内容 | ブラケットと呼ばれる歯にワイヤーを固定する装置とワイヤーを装着して歯を動かしていく治療です。 |
| 治療期間 | 2年10ヶ月 |
| 費用(税込) | 990,000円 |
| 治療に対するリスク | 分析の結果によっては歯を抜く必要性がある場合もあります。 |
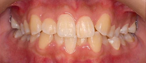
【マウスピース矯正】透明で見えにくい矯正装置

取り外しができる”マウスピース型”の矯正装置です。透明で目立ちにくく、歯を傷つけることがありません。定期的に新しいマウスピースと交換し、歯を移動させていきます。
比較的、軽度の不正歯列の方に適しており、症例によってはクリアブラケットを併用することもあります。
分析費用無料。
マウスピース矯正:症例
マウスピース矯正(インビザライン):40代 女性
-
治療前
-
治療後
| 治療名 | マウスピース矯正(インビザライン) |
|---|---|
| 患者情報 | 40代 女性 |
| 執刀医 | 大塚院長 |
| 治療内容 | 他院で拒否されたインプラントを含んだ矯正治療。 |
| 治療期間 | 1年(10回) |
| 費用(税込) |
マウスピース矯正:990,000円 クリーニング:5,500円×6 合計:1,023,000円 |
| 治療に対するリスク | 治療後、知覚過敏の症状が出る場合があります。 また、保定装置を付けないでいると後戻りする場合があります。 |
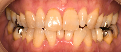
マウスピース型矯正治療:20代 男性
-
治療前
-
治療後
| 治療名 | マウスピース型矯正治療 |
|---|---|
| 患者情報 | 20代 男性 |
| 執刀医 | 大塚院長 |
| 治療内容 |
マウスピースを用いた歯列矯正治療。 14日置きにマウスピース装置を変えていき、歯列不正を治します。必要に応じてエナメル質を少し削る場合もあります。 |
| 治療期間 | 約6ヶ月 |
| 費用(税込) | 1,100,000円 |
| 治療に対するリスク | 歯肉の退縮、歯槽骨、歯根吸収する。装着時間を遵守できないと歯の動きが悪く、予定通りの時間で終了しない場合があります。 |
【子供の矯正】

「歯が噛み合わず、口を閉じたときに半開きになってしまう」
「上の前歯が飛び出ていて気になる」
このように、お子さまの歯並びでお悩みの方はいらっしゃいませんか?
悪い歯並びや噛み合わせをそのままにしておきますと、お子さまの将来に沢山のリスクが伴う可能性があります。お子さまの健やかな成長のためにも、治療の効果が期待できる子ども時代に矯正歯科治療を受けることをお勧めいたします。
子供の矯正を始めるタイミングとは?

一般的には6歳から7歳、永久歯の前歯と奥歯が生えてくる時期に顎の変形が強いケースなどでは、幼児の内に一度ご来院をお勧めしております。理想は、成長上にアンバランスの芽が出始めた頃から何らかの対策を講じた方が良いといえるでしょう。
しかし、顔が一人ひとり異なるように、歯や顎、そして心の成長はお子さまによって千差万別です。早い時期に矯正を始めた方が良いお子さまもいれば、実際にはしばらく成長を待ってから始めた方が良いお子さまもいらっしゃいます。
ただ、一ついえることは、骨格の不調和をそのままにしておきますと、5年後・10年後には不調和がさらに大きくなってしまい、その結果、矯正治療も難しくなってしまう場合があります。もし、お子さまの歯並びが気になるようでしたら、なるべく早めに歯科医師に尋ねてみることをお勧めいたします。
子供の矯正の流れを教えてください

お子さまの矯正治療は、初めからワイヤーの装置を付けて治療をスタートするわけではありません。小児矯正は大きく分けて2つのステップに分かれます。
【STEP1】第1期治療
この時期は、永久歯の萌出するスペースを作ったり、歯並びや顎の成長に悪影響を及ぼす噛み合わせの矯正を行い、順調な顎の成長や歯の生え変わりを誘導していきます。第1治療期が上手くいきますと、第2治療期では永久歯を抜かずに治療ができる可能性が生じます。
【STEP2】第2期治療
ワイヤー矯正をいたします。上下全ての歯にブラケットを装着し、歯のねじれや歯並びを整えて完全な噛み合わせに仕上げます。
※初診時に永久歯が生え揃っている方は、第2期治療からとなります。
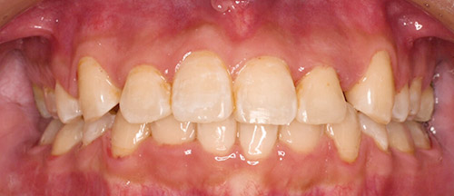
小児矯正:症例
小児矯正治療:女の子(小学生)
-
治療前
-
治療後
| 治療名 | 小児矯正治療 |
|---|---|
| 患者情報 | 女の子(小学生) |
| 執刀医 | 大塚院長 |
| 治療内容 |
子供の矯正治療で、着脱可能な床矯正装置を使用。 基本的には食事の時以外就寝中も装着して頂きます。 汚れは溜まりやすいので定期的にチェックとクリーニングに来て頂きます。 |
| 治療期間 | 20ヶ月(個人差あり) |
| 費用(税込) | 495,000円 |
| 治療に対するリスク | 着脱が出来るので外してる時間が長いと治療期間が伸びてしまう。 |
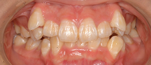
小児矯正治療:10代 男の子
-
治療前
-
治療後
| 治療名 | 小児矯正治療 |
|---|---|
| 患者情報 | 10代 男の子 |
| 執刀医 | 大塚院長 |
| 治療内容 | 前歯部の反対咬合を床矯正装置と筋機能療法により治療します。 |
| 治療期間 | 4年 |
| 費用(税込) |
矯正装置:247,500円(片顎)×2 合計:495,000円 |
| 治療に対するリスク |
矯正装置がお口の中にある為、治療期間中は虫歯になりやすい状態です。 1〜2ヶ月おきに装置のチェックとクリーニングで来院頂きます。 |
治療の流れ

【STEP1】カウンセリング
初回は、資料がありませんので、簡単なカウンセリングを受けていただきます。また、矯正治療の一般的なお話、患者さまのご心配なことや疑問にお答えいたします。

【STEP2】検査
顔写真・歯の写真やレントゲン写真・歯型などの資料取りをさせていただきます。

【STEP3】診断(治療方針の決定)
治療にかかる期間や、治療後のイメージ、具体的な治療方法などをご説明いたします。
矯正歯科・小児矯正についてよくあるご質問(Q&A)

Q1.痛みはどれくらいありますか?
A1.矯正装置をつけた直後や調整後は、歯が動く際に圧迫感や軽い痛みを感じることがあります。
多くの場合、子どもで2〜3日程度、成人で3〜7日程度で落ち着くことが一般的です。
「強い痛みが続く」という場合は必ずご相談ください。装置の調整や噛み合わせの確認を行い、負担を減らす対応をいたします。
Q2.何歳から矯正治療を始めるのが良いですか?
A2.矯正治療は年齢に上限がなく、大人の矯正も十分に可能です。
ただし、お子さまの場合は成長を利用した治療ができるため、早期に診断することで治療の選択肢が広がります。
一般的には、小学校低〜中学年頃に一度相談を受けていただくと、適切な時期を逃さずに治療計画が立てやすくなります。
Q3.子どもの矯正はいつ相談すべき?
A3.次のようなサインに気づいたら、一度相談されることをおすすめします。
- 相談の目安となるサイン
-
- 前歯が噛み合わない
- 下あごが前に出ている
- 歯がガタガタになってきた
- 指しゃぶり・舌癖などの習慣がある
- 口呼吸が多い
Q4.装置は目立ちますか?
A4.現在の矯正装置は従来に比べて大変目立ちにくくなっています。
- 選択できる装置の例
-
- 透明・白色のブラケット
- ワイヤー矯正
- 裏側矯正(歯の裏側に装置を付ける方法)
- マウスピース矯正(取り外し可能・透明)
※生活環境や仕事上の都合に合わせて選択できますので、事前のカウンセリングでご相談ください。
Q5.マウスピース矯正とワイヤー矯正、何が違いますか?
A5.どちらも歯並びを整える治療ですが、仕組みや得意分野が異なります。
- マウスピース矯正
-
- 透明で目立ちにくい
- 食事・歯磨きの際に取り外せる
- 比較的軽度~中等度の症例に向いている
- ワイヤー矯正
-
- 幅広い症例に対応
- 複雑な歯の移動がしやすい
- 重度のガタつき・噛み合わせのズレにも向いている
どちらが適しているかは歯並びや噛み合わせにより変わるため、個別の診断が必要です。
Q6.保定(リテーナー)はどれくらい必要ですか?
A6.矯正治療で動かした歯は、そのままでは元の位置に戻ろうとします。
そのため、治療後の保定期間はとても重要です。
一般的には、「1〜2年間は毎日使用し、その後も夜間を中心に継続する」というケースが多いです。
保定期間は患者さまごとに異なるため、定期的な経過観察で使用方法を調整していきます。
Q7.部分矯正は可能ですか?
A7.前歯の軽度のガタつきや、1〜2本だけ歯を動かしたい場合などには、部分矯正が適応となるケースもあります。
ただし、部分矯正では改善できない噛み合わせの問題もあるため、全体のバランスを見たうえで判断が必要です。
「短期間で治したい」「気になるところだけ整えたい」というご相談も増えていますので、まずは状態を診させてください。
Q8.親知らずは抜く必要がありますか?
A8.親知らずが歯並びに影響する可能性がある場合や、矯正治療のスペースを確保する必要がある場合には、抜歯を提案することがあります。
ただし、すべての親知らずを抜く必要があるわけではありません。
位置・生え方・噛み合わせを慎重に確認したうえで判断します。
戸越公園周辺は住宅街で、親知らずによる腫れや痛みを抱えて来院される方も多いため、早めのチェックをおすすめしています。
不安や疑問はいつでもお気軽にご相談ください。
