インプラント
その日から軽い食事のできるインプラントとは?
「もう一度あの頃のような歯が蘇ったら…」「信頼のおけるインプラント治療をしたい…」
このような悩みをお持ちではありませんか?

当クリニックでは、患者さまが信頼をおけるインプラント治療を行っております。治療方法も一つに限定せず、身体の負担を考えたOAMインプラントや、その日の内に噛めるALL-on-4・ALL-on-6インプラント治療など、その方のお口の状態に合わせたふさわしい治療をご提案しております。
当院がご提供するインプラント治療 -SSSシステム-

SSSシステムとは、「Safety=安全」「Satisfaction=満足」「Sure=正確」の3つの頭文字を取ったシステムのことです。「安全な治療」を「正確」に行い、患者さまに「満足」していただくことを目指したインプラント治療です。
インプラント治療において意識していることは「技術力」です。理事長・齋藤和重は、海外のインプラントでの研鑽やできるだけ骨を削らないOAMインプラント法の導入など、患者さまのことを意識したシステム構築に取り組んでおります。
また、技術を「正確に」ご提供するため、CT設備や専用オペルームの設置、画像解析ソフトを導入し、成功に導くための診断を行っております。
じっくりと内容をお伺いするカウンセリングに加え、適切な設備と技術を活かした手術。そしてインプラント専門の歯科衛生士によるメンテナンスで、患者さまにご満足いただけるインプラントを目指しております。
インプラント:症例
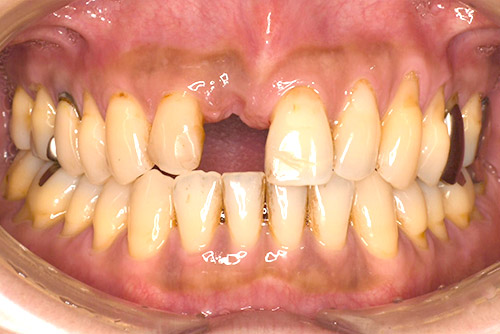
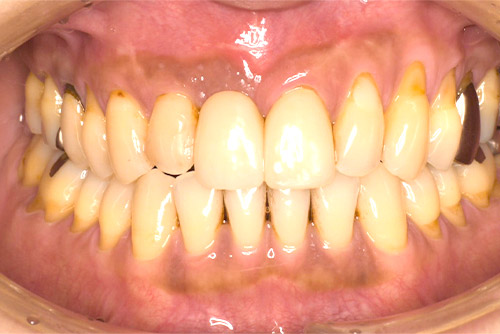
前歯インプラント治療:30代 女性
治療前

治療後

| 治療名 | 前歯インプラント治療 |
|---|---|
| 患者情報 | 30代 女性 |
| 執刀医 | 大塚院長 |
| 治療内容 |
右上前歯のインプラント埋入と骨造成手術。 左上前歯の補綴治療。 |
| 治療期間 | 5回(7ヶ月) |
| 費用(税込) |
手術準備費:33,000円 インプラント:275,000円 GBR:165,000円 チタンアバットメント:55,000円 インプラント上部:187,000円 【左上1】 ジルコニアCr:154,000円 合計:869,000円 |
| 治療に対するリスク | インプラント手術後に、疼痛や腫れる場合がございます。 補綴治療をしたところは治療後に一時的にしみる可能性があります。 |
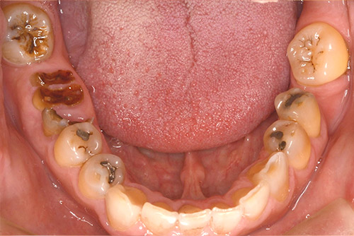
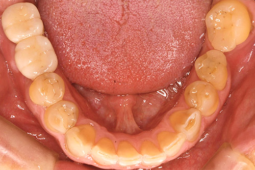
臼歯インプラント・セラミック治療:50代 男性
治療前

治療後

| 治療名 | 臼歯インプラント・セラミック治療 |
|---|---|
| 患者情報 | 50代 男性 |
| 執刀医 | 大塚院長 |
| 治療内容 | 保存出来ない歯のインプラント治療とアマルガムのセラミックインレーへの交換。 |
| 治療期間 | 8回(6ヶ月) |
| 費用(税込) | 手術準備費:33,000円 インプラント:275,000円×2 チタンアバットメント:55,000円×2 インプラント上部ジルコニアクラウン:187,000円×2 セラミックインレー:66,000円×5 合計:1,397,000円 |
| 治療に対するリスク | インプラント手術後に、疼痛や腫れる場合がございます。また、一時的に詰め物した歯がしみる事があります。 |
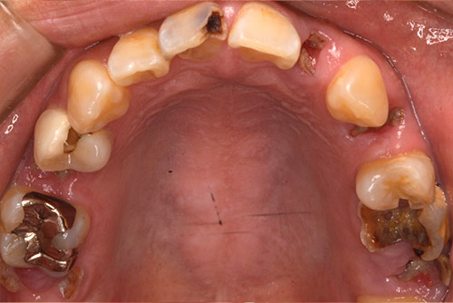
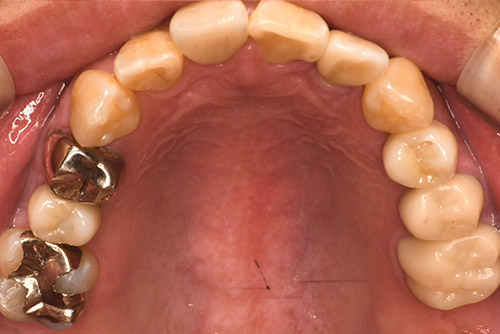
欠損部のインプラント治療とセラミック・ジルコニア治療:30代 男性
治療前

治療後

| 治療名 | 欠損部のインプラント治療とセラミック・ジルコニア治療 |
|---|---|
| 患者情報 | 30代 男性 |
| 執刀医 | 大塚院長 |
| 治療内容 | 歯冠崩壊部のインプラント治療と、セラミック・ジルコニアクラウンによる虫歯治療。 |
| 治療期間 | 12回(10ヶ月) |
| 費用(税込) | ファイバーコア:27,500円×4 セラミッククラウン:121,000円×1 ジルコニアクラウン:143,000円×2 インプラント手術準備費:33,000円 GBR(骨増生) :88,000円×2 インプラント:275,000円×3 アバットメント:55,000円×3 インプラント上部ジルコニア:187,000円×3 合計:2,277,000円 |
| 治療に対するリスク | インプラント治療においては、術後一時的な疼痛や腫れが起こる場合があります。 |
山手歯科クリニックのインプラント 5つの強み

【その1】設備
歯科用CT完備、専用オペルーム、画像解析ソフトを導入しております。信頼のおける治療をご提供するためには医師の技術や経験が重要な要素であることはもちろんですが、それを可能な限り活かすための設備と器材も必要です。
【その2】明確な料金と治療計画
インプラント治療の1本あたりの価格は、473,000円~(税込・準備費別)です。この金額には2ピースインプラント手術、CT撮影、画像解析、インプラントの上部に取り付ける被せ物(ハイブリッドセラミックの場合)の料金が含まれております。治療前には金額を明確にご説明し、患者さまに適した治療計画をご提案しております。
【その3】インプラント15年の実績
インプラント治療は決して一律ではなく、患者さまにより治療方法が異なります。インプラントを行う医院も増えてきましたが、患者さま目線で考えるとインプラント治療時はさまざまな症例も含めた実績で検討することをお勧めします。
当院の理事長はOAMインプラントシステムの導入など、患者さまのことを考えたインプラント治療のご提供を行っています。インプラントを専門とする担当の歯科医師も国内外を問わず積極的に研鑽を積み、治療に反映しております。
クリニック全体でインプラント治療を意識しているからこそ、経験と技術にも反映ができ、患者さまに信頼されるインプラント治療を実現することができると考えております。

【その4】実績のあるインプラント製品を採用
使用するインプラント製品は、メーカーやブランド毎に特徴があります。これらは患者さまのお口の状態や使用する部位により、機能性・安定性に大きな差が出てきます。
使用するインプラント体は日本以外でも実績のあるストローマン(ITI)、ノーベルバイオケア(ブローネマルク)を中心に信頼のおける4社のインプラント製品のみを取り扱っております。
【その5】カウンセリング
カウンセリングでは、患者さまのお口の状態を口腔内写真とCT画像で分析し、治療内容や治療計画などをご説明いたします。
インプラント治療は決して費用のかからない治療ではありません。治療後のメンテナンスも含めますと、長いお付き合いになりますので、カウンセリングの段階でお互いの意識を共有させることが重要になってきます。患者さまと二人三脚でゴールを目指せるよう、治療への不安や疑問を取り除いていきたいと考えております。
【保証システム】納得の10年保証

当クリニックのインプラント治療は、術後のトラブルがほとんどありません。それは適切な治療を行っているからです。
治療後の「もしも」に備え、10年保証制度を設けております。万一、治療後にインプラントが定着しない場合は、無料でインプラント体の種類を変えて再治療をいたします。
【感染対策】患者さまを意識した滅菌対策

インプラント手術には術中の感染の危険が伴うため、施設の滅菌対策が重要な要素となってきます。
手術に使用する器具は滅菌対策が施された設備を使用したものと、使い捨てができるディスポーザル器具を多用することによって、術中の感染を防いでいます。こうした感染予防には、相応の手間だけでなくコストも費やしますが、患者さまのために優先すべきことであると考え、施設全体での滅菌対策を行っております。
その日から軽い食事のできる、ALL-on-4インプラント

当クリニックでは、その日の内に歯が入る「ALL-on-4(オールオンフォー)インプラント治療」を行っております。この方法の特徴は「その日の内に歯を固定し、歯の機能が回復できる」ということです。歯のない人、または歯を全て抜く必要のある人でも、たった4本のインプラントを埋入することで対応できます。
この治療のメリットは、顎の骨が不足していても骨移植を避けることができ、費用も抑えられることです。何より、手術当日に仮歯を入れることができます。
患者さまの口腔内環境をサポートするために、チームアプローチに積極的に取り組んでおります。全ての患者さまにご満足していただけるよう、日々技術の向上に努めております。
従来のインプラントとALL-on-4の違い
これまでのインプラント治療は、歯のないところにインプラント体を1本ずつ埋入していました。そのため、多くの歯を失うと、インプラントの本数もそれだけ必要となり、手術後の数ヶ月間は人工の歯の装着はできませんでした。
これらのデメリットを解消したインプラントが「ALL-on-4(オール・オン・フォー)」です。手術と同時に仮歯を入れますので、その日から軽いお食事をお取りいただけます。
ALL-on-4は、片顎に埋入するインプラント数が4~6本(総入れ歯)で済み、費用も抑えることができます。何よりも手術の回数も抑えることができるため、感染症などのリスク回避につながります。手術したその日から噛める喜びが味わえ、身体の負担も緩和され、患者さまに優しいインプラント治療といえます。
ALL-on-4(オール・オン・フォー):症例
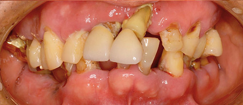
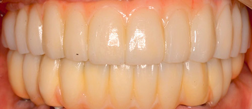
オールオン4・オールオン6インプラント治療:70代 男性
治療前

治療後

| 治療名 | オールオン4・オールオン6インプラント治療 |
|---|---|
| 患者情報 | 70代 男性 |
| 執刀医 | 齋藤理事長 |
| 治療内容 |
一度の手術で全顎のインプラント埋入と人工歯装着を行います。 手術当日に仮歯の装着が可能なので「その日の内に歯を固定し、歯の機能が回復出来る」という事で短時間で治療効果が実感できる治療方法です。 |
| 治療期間 | 約5ヶ月 |
| 費用(税込) |
上顎 4,741,000円 下顎 3,685,000円 |
| 治療に対するリスク | 痛みに配慮した治療を行なっていますが、術後に痛みや腫れを感じる事があります。また、アザが出ることがありますが、通常は2週間程度で消えます。 |
ドリルを使わず、痛みが生じにくいOAMインプラント

インプラント手術は、骨を削る痛い治療と思っていませんか?
当クリニックでは痛みに配慮し、ドリルを使わない「大口式インプラント(OAMインプラント)」を行っております。
これは、大口弘歯科クリニック院長の大口弘氏が考案した手法で、当クリニックでは大口先生の指導のもと、このインプラントシステムを導入しております。
OAMインプラントは細い器具を使い、穴を広げていきます。骨を必要な分のみ削るので、痛みや出血を抑え、神経を傷つける可能性も抑えられます。また、骨を拡げていくと骨密度が増し、骨粗鬆症の方でも適用可能となります。
骨を増やす手術をしないので一回の手術でインプラント体を埋入することができて、治療の効率化につながります。OAMインプラントによる痛みが生じにくい手術と自然の歯のような噛み心地をご提供いたします。
インプラント治療の流れ

【STEP1】診査診断と治療プラン
模型やレントゲンでの十分な診査診断を行い、患者さまのための治療プランをご提案いたします。この時にインプラント手術の内容、治療期間、費用など詳しくご説明いたします。

【STEP2】インプラント手術
患者さまに適したインプラント体を選択し、インプラントを埋入するための一次手術を行います。手術時間は約1時間前後です。
手術中は、局所麻酔をしますので痛みは生じにくいです。また、痛みに強いご不安をお持ちの方には、麻酔を専門とする医師による静脈内鎮静法もご用意いたします。

【STEP3】人工歯の取り付け
一次手術後、インプラントが顎の骨に結合するまで2~6ヶ月程待ちます。インプラントの上部に土台を取り付け、セラミックなどの人工歯を被せます。なお、状態によってはインプラントのヘッド部を歯肉の上に露出させる二次手術が必要な場合があります。
【STEP4】インプラントのメンテナンス
インプラントを長く使うには、治療後のホームケアと歯科医院で行う専用のケアが欠かせません。
当クリニックでは3~4ヶ月に1度の定期検診とインプラント用のケアをお勧めしています。
