審美セラミック治療
審美治療とは
歯並びや口元の見栄えは、お顔の美しさやその人の魅力を引き立てます。口元の美しさは、その人の印象を左右するため、歯の治療に美しさが求められます。
審美治療とは「歯の美容整形」ともいわれ、歯の美しさに重点を置いた治療です。

白くて健康な歯やきれいな歯肉・美しい歯並びと、その方の顔や骨格と調和がとれた美しい口元を作ります。歯の色や形・歯並びが悪くて気になる方にふさわしい治療です。
当院の審美治療で、素敵な笑顔をプロデュースいたします。
当クリニックの審美治療

審美治療でもたらされる『美しさ』には、さまざまな要素が考えられます。仕上がりの美しさはもちろん、使用する歯科用修復材の質やドクターの美に対する追求心、さらには治療設備なども含まれます。
当クリニックでは、患者さまのプライバシーに配慮し、落ち着いた環境で審美治療を受けていただけるよう、カウンセリングから診療まで全て個室で行っております。
これまで培った審美の技術と経験を活かし、素敵な笑顔を実現できるよう、治療に当たりたいと考えております。
審美歯科セラミック:症例
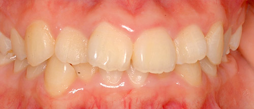
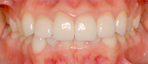
セラミッククラウンによる審美治療:20代 女性
治療前

治療後

| 治療名 | セラミッククラウンによる審美治療 |
|---|---|
| 患者情報 | 20代 女性 |
| 執刀医 | 大塚院長 |
| 治療内容 |
前歯のセラミッククラウン治療。 光学印象という従来のピンク色の型取りを必要としない方法で、カメラで型取りします。 即日で完成させる事も可能。 |
| 治療期間 | 2回(2時間) |
| 費用(税込) | 121,000円×6本 |
| 治療に対するリスク | 一時的に歯がしみることがあります。 |
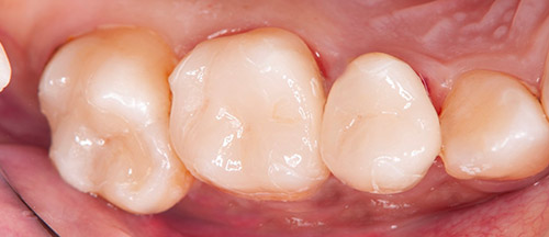
セラミック治療:30代 女性
治療前

治療後

| 治療名 | セラミック治療 |
|---|---|
| 患者情報 | 30代 女性 |
| 執刀医 | 大塚院長 |
| 治療内容 |
奥歯のセラミック治療。 光学印象という従来のピンク色の型取りを必要としない方法です。カメラで型取りします。 即日で完成させる事も可能。 |
| 治療期間 | 2回(1時間) |
| 費用(税込) | 66,000円×3本 |
| 治療に対するリスク | 一時的に歯がしみることがあります。 |
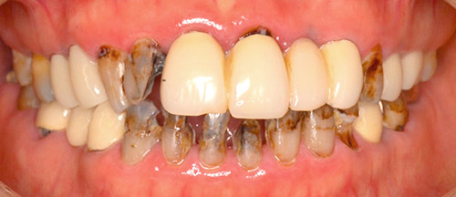
セラミック・ジルコニア審美治療:50代 女性
治療前

治療後

| 治療名 | セラミック・ジルコニア審美治療 |
|---|---|
| 患者情報 | 50代 女性 |
| 執刀医 | 大塚院長 |
| 治療内容 | 虫歯により崩壊してしまった歯牙をセラミック・ジルコニアで修復。 |
| 治療期間 | 11回(4ヶ月) |
| 費用(税込) | ファイバーコア:¥27,500円×2 ジルコニアクラウン:143,000円 スマイルクラウン:176,000円×18 合計:3,366,000円 |
| 治療に対するリスク | 経年的な歯肉の退縮で被せ物との境目が目立つ場合があります。 |
審美治療の流れ

100人の患者さまがいらっしゃれば、100通りの治療方法があります。それぞれの患者さまにふさわしい治療を行うためには、患者さまとの信頼関係を築き、きちんとお話しすることが重要です。
当クリニックでは、患者さまにふさわしい治療を一緒に考えながら、治療計画を立てます。
カウンセリングでは、患者さまの食生活から始まり、治療への要望、治療回数や治療時間、予算などのご要望を具体的にお伺いしながら治療計画を立てます。
また、治療が始まると毎回歯の状態や治療の説明・進行状況を必ずご説明し、疑問やご質問があれば随時お答えしています。
